RSSアイコン
  • Top
  • ホワイトニング・素敵な笑顔のために

ホワイトニング・素敵な笑顔のために|真生歯科クリニック

ホワイトニング



ホワイトニング

輝ける白い歯をあなたに


1.オフィスホワイトニング
・当医院にて行うホワイトニングです。
・当医院個室にて完全予約制 1回1本あたり700円※           
  ※前歯12本の範囲 保険適応外となります。
2.ホームホワイトニング
・自宅で行えるホワイトニングです。
・2週間毎日2時間で行えるホワイトニングです。
・厚生省承認の薬で歯に優しいホワイトニング
・初回2万5千円、次回より2万円 保険適応外となります。
 
3.オフィスホワイトニング・ホームホワイトニング併用
・オフィスホワイトニングとホームホワイトニングを併用し、
 より長く白い歯を保つ方法です。
・定期的にすることによって常時素敵な白い歯を保てます。
 


【ブリーチングorホワイトニング】

ペースト状の過酸化水素水を歯面に塗り光反応と科学反応の併用により
漂白するものです。


ホワイトニング
   
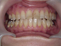
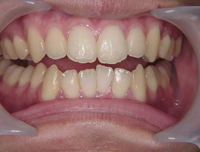
ケース1(治療前) ケース1(治療後)
   
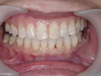
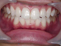
ケース2(治療前) ケース2(治療後)


Copyright(C) 真生歯科クリニック. All right reserved.