RSSアイコン
  • Top
  • レーザー治療・審美治療

レーザー治療・審美治療|真生歯科クリニック

真生歯科クリニックは歯周病、口内炎、色素沈着、虫歯にレーザー治療を行っております。また審美治療としてブリーチング、ホワイトニング、オールセラミックス、補綴矯正も行っております。


レーザー治療

歯周病、口内炎、色素沈着、虫歯を痛くなく治療を行っています。
レーザーには 「切開・鎮痛・殺菌・消毒・止血・消炎」など実に多くの利点が
あります。

「レーザーなら痛みが少なくなります。」 
レーザーは、歯肉の「切開などでも痛み」をほとんど感じない画期的な
治療法です。また、レーザーの照射で虫歯になりにくい強い歯になります。
 
「歯を抜くことが少なくなります。」 
歯を抜くのはイヤなもの。
レーザー治療なら、抜歯しなくてはならなかった歯も残せるケースが増えます。
 
「麻酔の必要が少なくなります。」 
レーザーは「痛み」が少ないため、初期の虫歯などは麻酔や鎮痛剤なしで
治療できますから、アレルギー体質や妊婦の方にも大変安全な治療法です。
 
「歯周病や口内炎の治療にも効果的です。」 
レーザーは強力な殺菌作用で痛みも出血も少なく治療できます。
また、口内炎もレーザー照射でかんたんに治すことができます。
 


審美治療


審美治療とは、従来の保険内治療では治療不可能ですが、美しく自然で、
そして耐久性に優れた素材(セラミック、チタン等)を使用し、最新の技術で、
患者様のニーズにお応えする事が出来ます。

例えばこの様な事でお悩みの方へ

・歯並びをよくしたい
・歯のすき間をなくしたい
・金属のかぶせ物を白くしたい
・歯の噛合せをよくしたい
・1本だけ歯並びを治したい
・口臭をなくしたい

などの治療が可能です。


当医院では今話題の審美歯科も従前より行っておりますが、最近導入した技術としては以下の通りです。



【オールセラミックス】

金属をまったく使わずに、軽量で審美・機能を修復でき、軟組織・硬組織両方に優しい、生体親和性のある材料を使った、新しいテクノロジーで、前歯はもちろんのこと、臼歯ブリッジにも適用でき、最近増えている金属アレルギーの方には最適の治療方法です。


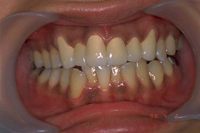
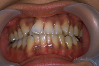
【補綴矯正】

歯ならびの悪さと、歯の色の悪さの両方を気にされる患者さまの治療方法です。
   
補綴矯正(治療前) 補綴矯正(治療後)

Copyright(C) 真生歯科クリニック. All right reserved.